PORTĀLS ĀRSTIEM UN FARMACEITIEM
Šī vietne ir paredzēta veselības aprūpes speciālistiem

Akūts un subakūts limfadenīts. Taktika bērniem

L. Čupāne, N. Tolstikova, K. Sapronova, A. Egle, A. Grantiņa
Akūts un subakūts limfadenīts. Taktika bērniem
Freepik
Limfadenopātija bērniem ir bieža — līdz 50 % veselu bērnu var būt palpējams palielināts limfmezgls. Galvenie bērnu limfadenopātijas iemesli ir lokālas vai sistēmiskas infekcijas, retāk — autoimūnas un neoplastiskas slimības. Rakstā skaidrota taktika akūta un subakūta limfadenīta gadījumā bērniem.

Limfmezgli ir daļa no limfātiskās sistēmas, kas ir organisma imūnās sistēmas daļa. Limfai cirkulējot pa limfvadiem cauri limfmezgliem, tiek nodrošināta limfas filtrācija no dažādām organisma daļām, kā arī B limfocītu un T limfocītu aktivācija. Limfmezgli ir dažādu lielumu un formas mīkstas konsistences veidojumi, kas pamatā izvietoti gar asinsvadiem (biežāk vēnām) vai to tuvumā. Limfmezglus iedala vairākās lielās grupās: galvas un kakla limfmezgli (pakauša, aizauss, pieauss siekalu dziedzeru, zemžokļa, zemzoda, kakla), augšējās ekstremitātes limfmezglu grupas (elkoņa, paduses), apakšējās ekstremitātes limfmezglu grupas (cirkšņa dziļie un virspusējie, iegurņa, paceles), vēdera dobuma limfmezgli, krūšu dobuma limfmezgli.

Bērnu vecumā limfmezgli parasti ir salīdzinoši lielāki nekā pusaudžiem vai pieaugušajiem. Tas saistīts ar nepārtrauktu pakļaušanu jauniem antigēniem.

Limfadenīta klasifikācija pēc ilguma Limfadenīta klasifikācija pēc ilguma
1. tabula
Limfadenīta klasifikācija pēc ilguma

Limfadenīts ir limfmezgla palielināšanās un iekaisums, parasti infekcijas dēļ. Tas var būt akūts, subakūts, hronisks (1. tabula). Klīniskie simptomi var ietvert:

  • jutīgumu un sāpīgumu palpējot,
  • lokālu apsārtumu, pietūkumu, reizēm strutainus izdalījumus no skartā limfmezgla,
  • drudzi un vispārēju nespēku.

Limfadenopātija ir vairāku limfmezglu palielināšanās un/vai struktūras izmaiņas. Par patoloģisku uzskata limfmezglu diametra palielinājumu:

  • > 10 mm virspusējos reģionos,
  • > 5 mm epitrohleārā reģionā,
  • > 15 mm ingvinālajā (cirkšņa) reģionā. [1]

Akūts limfadenīts parasti saistīts ar īslaicīgu vīrusu vai bakteriālu infekciju, subakūts — ar plašāku patogēnu spektru, hronisks biežāk norāda uz neoplastisku vai granulomatozu procesu. [2]

Epidemioloģija un etioloģija [3; 4]

Vecuma ietekme

  • Neonatālajā periodā palielināti limfmezgli var liecināt par iedzimtu infekciju (toksoplazmozi, iedzimtu CMV) vai bakteriālu sepsi.
  • Zīdaiņu un bērnu vecumā dominē respiratoriskie vīrusi, var būt bakteriāla etioloģija.
  • Pusaudžiem iemesls var būt arī seksuāli transmisīvās infekcijas (piemēram, HIV).

Lokalizācija

Biežākie limfadenīta patogēni [1; 4] Biežākie limfadenīta patogēni [1; 4]
2. tabula
Biežākie limfadenīta patogēni [1; 4]

  • Kakla limfadenopātija: visizplatītākā bērniem.
  • Supraklavikulāra: augsts ļaundabīgu slimību risks (mediastinālo vai intraabdominālo audzēju izplatība).
  • Paduses: lokalizētas strutainas infekcijas augšējās ekstremitātēs vai Bartonella henselae inokulācija.
  • Cirkšņa: parasti nespecifiska, ja limfmezgli < 3 cm.
  • Epitrohleārā: ādas bojājumu baktēriju infekcijas vai retos gadījumos sifiliss, limfoma.
  • Ģeneralizēta: ≥ 2 anatomiskās zonas liecina par sistēmisku iekaisumu, autoimūnām vai onkoloģiskām slimībām.

Biežākie patogēni apkopoti 2. tabulā. 

Klīniskā izmeklēšana

1. Anamnēze

  • Pavadošie simptomi, drudža ilgums.
  • Saskare ar dzīvniekiem, vakcinācija.

2. Fizikālā izmeklēšana

  • Palpējama atrade visās limfmezglu grupās (galva, kakls, aksilārie, ingvinālie, paceles).
  • Izvērtē lokalizāciju, izmēru, formu, konsistenci, mobilitāti, sāpīgumu.
  • Mīksti, pārvietojami limfmezgli norāda uz labdabīgu procesu; cieti, fiksēti — malignitāti.

3. Papildu izmeklējumi

  • Asins analīzes: pilna asins aina, CRO, pēc nepieciešamības EGĀ.
  • Asins kultūras, limfmezgla materiāla mikrobioloģiskā izmeklēšana.
  • Seroloģija (EBV, CMV, HIV, toksoplazma u.c.).
  • Tuberkulīna ādas tests vai IGRA.
  • Attēldiagnostika: USG (biežāk), MRI, retāk DT vai PET/CT.

Attēldiagnostika limfadenīta gadījumā

Normāli, tipiska izskata kakla limfmezgli —
lielākais (C attēls) 1 cm × 2 cm izmērā zem apakšžokļa leņķa Normāli, tipiska izskata kakla limfmezgli —
lielākais (C attēls) 1 cm × 2 cm izmērā zem apakšžokļa leņķa
1. attēls
Normāli, tipiska izskata kakla limfmezgli — lielākais (C attēls) 1 cm × 2 cm izmērā zem apakšžokļa leņķa

Ultrasonogrāfija 

Ultrasonogrāfija (US) praksē pierādīta kā izcila skrīninga metode, lai izvērtētu kakla limfadenopātiju pediatriskā populācijā. Tā ir viegli pieejama, tā neizmanto jonizējošo starojumu un parasti tai nav nepieciešama sedācija. Ultrasonogrāfiju veic, izmantojot augstas frekvences lineāro zondi un ar krāsu doplerogrāfiju mērķtiecīgi izvērtējot apasiņošanu.

Tomēr ultrasonogrāfijai ir daži no izmeklējuma metodes atkarīgi ierobežojumi, piemēram, tā nesniedz iespēju pilnvērtīgi izvērtēt procesa kopējo anatomisko izplatību, ir grūtības izvērtēt dziļās kakla telpas un ierobežota iespēja vizualizēt limfmezglus, kas atrodas blakus elpceļiem vai kaulu struktūrām. [6]

Pediatriskiem pacientiem ar palielinātiem kakla limfmezgliem US mērķis saistībā ar klīnisko ainu ir reaktīvu limfadenopātiju diferencēt no limfadenīta, abscesa un neoplastiska procesa. 

Ultrasonogrāfijas atrade

Veicot US, speciālista rīcībā ne vienmēr ir pilnvērtīga informācija par klīnisko un laboratorisko atradi, tāpēc attēldiagnostikas interpretāciju pamato tādas US vērojamas pazīmes kā limfmezglu izmērs, forma, lokalizācija, vienpusējas vai abpusējas pārmaiņas, parenhīmas struktūras un tauku saknītes izmaiņas, kā arī tas, vai ir konstatējamas destrukcijas pazīmes, vaskularizācijas izmaiņas un limfmezgla kalcifikācija. [6]

14 g. v. zēns ar CMV infekciju 14 g. v. zēns ar CMV infekciju
2. attēls
14 g. v. zēns ar CMV infekciju

Tomēr neviens atsevišķs ultrasonogrāfijas izmeklējuma kritērijs nevar precīzi atšķirt labdabīgus vai ļaundabīgus limfadenopātijas cēloņus. [7] Ultrasonogrāfijā bērniem normāli limfmezgli vienmēr būs redzami. Normāla, neizmainīta izskata limfmezgla US atrade:

  • skaidri norobežots,
  • ovālas formas,
  • ehogēns (gaišs) centrs jeb tauku sakne (hils) ar saglabātu hilāru vaskularizāciju krāsu doplera režīmā, 
  • īsākajā šķērsizmērā < 10 mm.

Normāls jugulodigastriskais limfmezgls, kas atrodas zem apakšžokļa leņķa (IIa kakla limfmezglu grupa), īsākajā šķērsizmērā var būt pat 15 mm (1. attēls). [8] 

Reaktīva limfadenopātija

Bakteriāls limfadenīts Bakteriāls limfadenīts
3. attēls
Bakteriāls limfadenīts

Reaktīva limfadenopātija kaklā parasti attīstās limfmezglu grupās, kas atrodas tuvu biežākajiem infekcijas ieejas vārtiem un ir saistītas ar attiecīgo anatomisko struktūru limfas drenāžas ceļiem. Mutes dobuma vai augšējo elpceļu infekcijas parasti izraisa submandibulāro vai priekšējo kakla limfmezglu palielināšanos. Supraklavikulārie limfmezgli vienmēr jāuzskata par potenciāli ļaundabīgiem, līdz tiek pierādīts pretējais. [9]

Reaktīvi limfmezgli būs palielināti izmērā, parasti tie saglabā ovālu formu, jo limfoproliferācija notiek difūzi, ultrasonogrāfijā tie būs vizuāli hipoehogēnāki (tumšāki), salīdzinot ar normāliem limfmezgliem, un ar plašāku ehogēno hilu un pastiprinātu hilāru vaskularizāciju. Reaktīva limfadenopātija var radīt diagnostiskas grūtības, jo atsevišķs mezgls var būt nesamērīgi palielināts salīdzinājumā ar pārējiem (2. attēls).

Bakteriāls vai vīrusu limfadenīts

Bakteriāls limfadenīts ar iniciālu destrukciju Bakteriāls limfadenīts ar iniciālu destrukciju
4. attēls
Bakteriāls limfadenīts ar iniciālu destrukciju

Nekomplicētam kakla limfadenītam ultrasonogrāfiski raksturīgs palielināts izmērs, tā forma var būt apaļāka ar neasu, izplūdušu kontūru (jo īpaši akūta iekaisuma gadījumā), izmainīts ehogēnais hils — parasti izzudis vai deformēts, hipoehogēna un nehomogēna parenhīma, pastiprināta perifēra vaskularizācija iniciālas abscesa formēšanās dēļ (veidojoties abscesam, vizualizēs fokālus anehogēnus rajonus, tie bez vaskularizācijas krāsu doplerā), perifokāli paaugstinātas ehogenitātes mīkstie audi (3., 4. attēls). 

Abscess

Abcesa veidošanās klīniski ir grūti konstatējama, arī ultrasonogrāfija ne vienmēr ir uzticama. Ultrasonogrāfijā būs redzama limfmezgla destrukcija ar nekrozes zonām — anehogēniem (melniem) vai hipoehogēniem (tumšiem) šķidra satura ieslēgumiem ar dažādu sieniņas biezumu, limfmezgla tipiskā sakne nebūs diferencējama. Vēlākā limfmezgla destrukcijas stadijā strutainais saturs ultrasonogrāfiski būs nehomogēns, iespējams, multilokulārs ar septām, sabrukušiem audiem, hiperehogēniem gaisa ieslēgumiem, kas, piespiežot ar US zondi, kustēsies — būs vērojama satura fluktuācija.

Limfadenīta komplikācijas: abscesa attīstība pēc neefektīva antibiotiku kursa Limfadenīta komplikācijas: abscesa attīstība pēc neefektīva antibiotiku kursa
5. attēls
Limfadenīta komplikācijas: abscesa attīstība pēc neefektīva antibiotiku kursa

Abscesu ultrasonogrāfiski raksturo dorsāls pastiprinājums, kas raksturīgs šķidrajam saturam, krāsu doplerā redzama perifēri pastiprināta vaskularizācija, bet paša abscesa dobuma centrā plūsma nebūs konstatējama. [10] Piemērs par abscesa veidošanās dinamiku 5. attēlā un 6. attēlā. 

Gadījumos, kad US vizuālā atrade atgādina limfmezgla cistisku destrukciju, svarīgi pievērst uzmanību atrašanās vietai kaklā — izmaiņas vērojamas viduslīnijā vai sānos. Limfmezgli parasti ir laterāli izvietoti un daudzfokāli.

Ja konstatē fokālas cistiskas izmaiņas kakla viduslīnijā, tad diferenciāldiagnozē jāiekļauj iedzimtas tireoglosālā kanāla cistas iekaisīgas izmaiņas vai arī dermoīdas cistas (7. attēls). 

Palielināti limfmezgli un ļaundabīguma novērtējums bērniem

Abscess Abscess
6. attēls
Abscess

Liela izmēra limfmezgli parasti rada bažas ne tikai pacientam un viņa vecākiem, bet arī ārstiem: galvenais jautājums — vai šie mezgli norāda uz ļaundabīgu procesu. Literatūrā uzsver, ka bērniem limfmezglu izmērs nav uzticams ļaundabīguma rādītājs un ka pieau­gušajiem noteikto izmēru robežvērtību piemērošana bērniem var radīt daudz viltus pozitīvu rezultātu. Jāņem vērā, ka mazi limfmezgli var būt ļaundabīgi, bet lieli mezgli bieži saistīti ar dažādām infekcijām un iekaisuma procesiem. [11]

Inficēta ductus thyreoglossus cista Inficēta ductus thyreoglossus cista
7. attēls
Inficēta ductus thyreoglossus cista

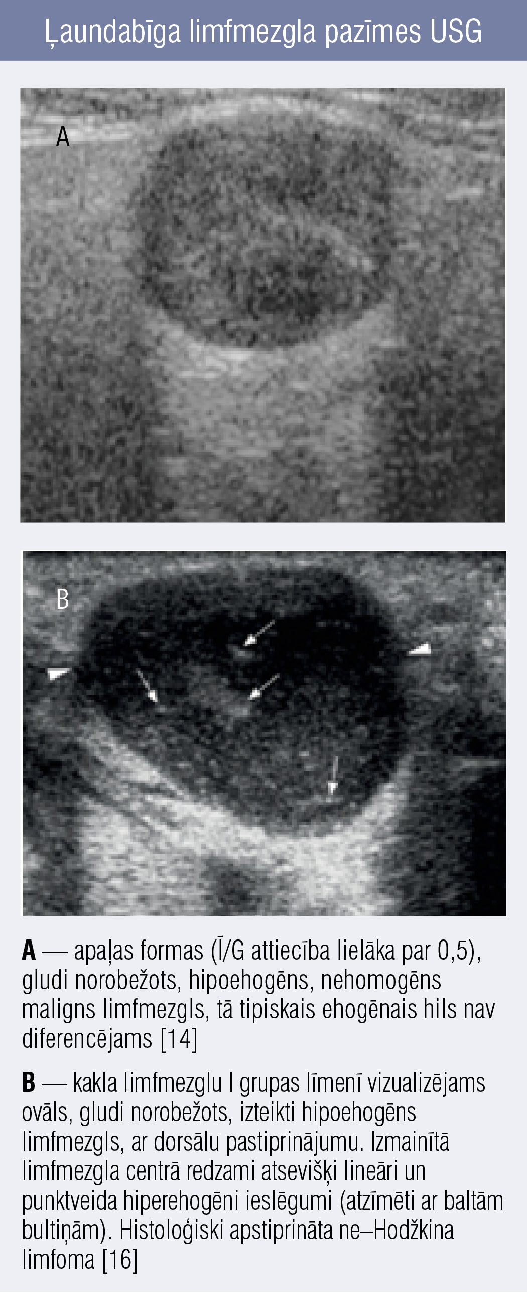
Ļaundabīgi limfmezgli parasti kļūst apaļāki, tāpēc īsās un garās ass attiecība (Ī/G) ir lielāka par 0,5, palīdzot labdabīgus limfmezglus diferencēt no ļaundabīgiem. Tomēr jāatzīmē, ka submandibulārie un parotidālie limfmezgli normāli var būt apaļākas formas ar Ī/G attiecību virs 0,5, tāpēc šo kritēriju šīm lokalizācijām kaklā nevar piemērot konsekventi. [12] Tāpat jāņem vērā, ka infekciozā mononukleoze un citomegalovīruss var izraisīt arī apaļas formas limfadenopātiju. [13] 

Malignā procesa infiltrācijas dēļ ļaundabīgi mezgli zaudē ehogēno hilu, bet ~ 4 % gadījumu maligni mezgli var saglabāt ehogēno tauku saknīti, apgrūtinot diagnostiku. [14] Turklāt maligniem limfmezgliem raksturīga jaukta tipa vai perifēra vaskularizācija — atšķirībā no normāla limfmezgla (centrāla tipa vaskularizācija pa neizmainītu tauku saknīti). [15] Līdzīgi kā abscedējošos, arī malignos limfmezglos vizualizēs neregulāras hipoehogēnas vai anehogēnas nekrozes zonas. Taču ap abscedējošiem limfmezgliem iekaisuma procesa dēļ būs redzami paaugstinātas ehogenitātes apkārtējie audi, savukārt maligniem limfmezgliem šāda atrade parasti nav vērojama (8. attēls). [16] 

Klīniskā gaita un diferenciācija

Akūts abpusējs kakla limfadenīts

Ļaundabīga limfmezgla pazīmes USG Ļaundabīga limfmezgla pazīmes USG
8. attēls
Ļaundabīga limfmezgla pazīmes USG

  • Parasti raksturīgs akūtam vīrusu faringītam.
  • Limfmezgli mazi, mīksti, dažreiz jutīgi; nav izteikta ādas hiperēmija.
  • Pavadošie simptomi: rīkles hiperēmija, konjunktivīts, rinoreja, klepus.
  • Gaita pašlimitējoša, var ilgt 4—6 nedēļas.

Akūts vienpusējs

  • Biežāk bakteriālas izcelsmes (S. aureus, Str. pyogenes); limfmezgli > 2 cm, sāpīgi, apsārtuši.
  • Var formēties abscess (¹⁄3 gadījumu).
  • Neonatālajā periodā — Strepto­coccus agalactiae ar sepsi un menin­gīta risku.

SUBAKŪTS LIMFADENĪTS

  • Bartonella henselae (kaķu skrāpējuma slimība): reģionāla limfadenopātija, var attīstīties abscesi, spontāna drenāža pēc 4—6 nedēļām.
  • Netuberkulozes mikobaktērijas: pakāpeniska vienpusēja palielināšanās, minimālas sistēmiskas izpausmes.
  • EBV un CMV subakūtā fāze var pāriet hroniskā limfadenopātijā ar hepatosplenomegāliju.

Terapijas pamatprincipi

Akūts limfadenīts

  • Vīrusu izcelsmes
    • Konservatīva pieeja: pretsāpju un pretdrudža līdzekļi. [1]
  • Bakteriāla izcelsme 
    • Empīriska antibakteriāla terapija — S. aureus un Str. pyogenes — pirmās paaudzes cefalosporīni (cefazolīns, cefadroksils), penicilāzes rezistentie penicilīni (oksacilīns) vai amoksicilīns/klavulānskābe, ja pacients febrils. Izvairīties no plaša spektra antibiotiku lietošanas. 
    • Rezerves a/b terapija, ja bēta laktāmu alerģija, — klindamicīns vai klaritromicīns.
    • Ja aizdomas par anaerobo baktēriju iesaisti — klindamicīns.
    • Ilgums: 7—10 dienas; labošanās pazīmes: drudža un sāpju mazināšanās 48—72 h, limfmezglu regresija 4—6 nedēļās. [1; 5]
  • Subakūts/hronisks limfadenīts [1]
    • Mērķēta terapija pēc mikrobioloģijas rezultātiem.
    • Netuberkulozes mikobaktērijas — nepieciešama ekscīzijas biopsija un specifiska ārstēšana.
    • Bartonella henselae — makrolīdi vai trimetoprims/sulfametoksazols.
    • Citi patogēni (toksoplazma, TB, sifiliss) — pēc diagnostiskā protokola.

Limfadenīta diferenciāldiagnozes apkopotas 3. tabulā.

Limfadenītu ķirurģiska ārstēšana bērniem: biežākās ķirurģiskās metodes

Ķirurģiski limfadenīts jāārstē, ja limfmezgls ir sastrutojis un abscedējas vai ja konservatīva ārstēšana ar antibiotikām nav bijusi pietiekami efektīva. [2; 17]

Ultrasonogrāfija ir galvenā attēldiagnostikas metode limfmezglu izvērtēšanai bērniem, sevišķi nolūkā izvērtēt vienpusēju, iespējami destruktīvu limfadenītu un lemt par ķirurģiskas ārstēšanas nepieciešamību. [18]

Galvenās indikācijas limfadenīta ķirurģiskai ārstēšanai:

  • destruktīvs limfadenīts jeb limfadenīts ar abscedēšanos, kad jāveic abscesa incīzija un drenāža vai limfmezgla ekstirpācija, lai novērstu infekcijas izplatīšanos un komplikācijas, [17; 19]
  • ādas bojājums — perforācija vai fistulu veidošanās virs limfmezgla, kas liecina par infekcijas progresēšanu, — vajadzīga steidzama ķirurģiska iejaukšanās, [17] 
  • nepietiekama atbildreakcija uz antibakteriālu terapiju pēc atbilstošas devas un kursa ilguma, kad antibakteriālās terapijas fonā limfadenīts pasliktinās, [2; 17] 
  • diferenciāldiagnostikai, lai izslēgtu ļaundabīgus procesus vai citas specifiskas infekcijas, veicot audu biopsiju vai pilnīgu limfmezgla ekstirpāciju diagnozes precizēšanai. [2; 17] 

Literatūrā aprakstītas dažādas limfadenīta ķirurģiskas ārstēšanas metodes bērniem. Galvenās no tām ir divas — ekstirpācija un incīzija. 

Pilnīga limfmezgla izgriešana (ekstirpācija)

Pilnīga limfmezgla izgriešana nodrošina augstu efektivitāti, ātrāku izveseļošanos, labāku estētisko rezultātu, turklāt samazina recidīvu risku. Metode ļauj iegūt histoloģisko materiālu precīzas diagnozes noteikšanai un mērķtiecīgai ārstēšanai. [2; 20]

Limfmezgla ekscīzijas biopsija rekomendēta pacientiem ar aizdomām par tuberkulozes vai netuberkulozo mikobaktēriju (NTM) izraisītu infekciju. Aspirācijas biopsija šiem pacientiem var veicināt fistulu veidošanos un nav ieteicama. [21]

Incīzija un drenāža

Incīziju un drenāžu limfadenīta ārstēšanā bērniem uzskata par efektīvāku nekā aspirāciju ar adatu un klīniskajā praksē lieto visbiežāk, jo tā samazina atkārtotu sastrutošanas risku. Bērni, kuriem tiek veikta limfmezglu incīzija un drenāža, nereti jāstacionē, viņiem tiek ordinēta parenterāla antibakteriālā terapija. Operācijas laikā iegūtais materiāls tiek nosūtīts tālākai mikrobioloģiskai izmeklēšanai un iespējamā ierosinātāja precizēšanai. [21]

Literatūra

  1. Sarah S. Long. Principles and Practice of Pediatric Infectious Diseases, 6th ed., 2023.
  2. Pecora F, Abate L, Scavone S, et al. Management of Infectious Lymphadenitis in Children. Children (Basel), 2021; 8(10): 860. doi:10.3390/children8100860.
  3. Kenneth L. McClain. Peripheral lymphadenopathy in children: Etiology. UpToDate, 2025.
  4. C. Mary Healy. Cervical lymphadenitis in children: Etiology and clinical manifestations. UpToDate, 2025.
  5. Martin AM, DeVine MN, Kempa M, et al. Microbiology Culture Results and Antibiotic Prescribing in Pediatric Patients With Lymphadenitis. Hosp Pediatr, 2023; 13(2): e29-e33. doi: 10.1542/hpeds.2022-006668. PMID: 36655380.
  6. Vaughn JA. Imaging of Pediatric Cervical Lymphadenopathy. Neuroimag Clin N Am, 2023; 33: 581-590, doi: 10.1016/j.nic.2023.05.008.
  7. Loh Z, Hawkes EA, Chionh F, et al. Use of ultrasonography facilitates noninvasive evaluation of lymphadenopathy in a lymph node diagnostic clinic. Clin Lymphoma Myeloma Leuk, 2021; 21(2): 179-184, doi: 10.1016/j.clml.2020.09.012.
  8. Qi Yong H Ai, Tiffany Y So, et al. Normal size of benign upper neck nodes on MRI: parotid, submandibular, occipital, facial, retroauricular and level IIb nodal groups. Cancer Imaging, 2022; 22(1): 66, doi: 10.1186/s40644-022-00504-z.
  9. Gokce S, Kurugol Z, Koturoglu G. Lymphadenopathies: An Annoyance or Not. J Pediatr Res, 2018; 5(3): 144-148, doi:10.4274/jpr.02418.
  10. Ahuja AT, Ying M. Sonographic evaluation of cervical lymph nodes. AJR Am J Roentgenol, 2005; 184(5): 1691-1699, doi: 10.2214/ajr.184.5.01841691.
  11. Hoang JK, Vanka J, Ludwig BJ, Glastonbury CM. Evaluation of cervical lymph nodes in head and neck cancer with CT and MRI: tips, traps, and a systematic approach. AJR Am J Roentgenol, 2013; 200(1): 17-25, doi: 10.2214/AJR.12.8960.
  12. Prativadi R, Dahiya N, Kamaya A, Bhatt S. Chapter 5 ultrasound characteristics of benign vs malignant cervical lymph nodes. Semin Ultrasound CT MR, 2017; 38(5): 506-515, doi: 10.1053/j.sult.2017.05.005.
  13. Fu XS, Guo LM, Lv K, et al. Sonographic appearance of cervical lymphadenopathy due to infectious mononucleosis in children and young adults. Clin Radiol, 2014; 69(3): 239-245, doi: 10.1016/j.crad.2013.09.016.
  14. Ahuja A, Ying M. An Overview of Neck Node Sonography. Invest Radiol, 2002; 37(6): 333-342, doi: 10.1097/00004424-200206000-00005.
  15. Na DG, Lim HK, Byun HS, et al. Differential diagnosis of cervical lymphadenopathy: usefulness of color Doppler sonography. AJR Am J Roentgenol, 1997; 168(5): 1311-1316, doi: 10.2214/ajr.168.5.9129432.
  16. Bialek EJ, Jakubowski W. Mistakes in Ultrasound Diagnosis of Superficial Lymph Nodes. J Ultrason, 2017; 17: 59-65, doi: 10.15557/JoU.2017.0008.
  17.  Spinelli G, Mannelli G, Arcuri F, et al. Surgical treatment for chronic cervical lymphadenitis in children. Experience from a tertiary care paediatric centre on non-tuberculous mycobacterial infections. Int J Pediatr Otorhinolaryngol, 2018; 108: 137-142. doi: 10.1016/j.ijporl.2018.02.042.
  18. Neff L, Newland JG, Sykes KJ, et al. Microbiology and antimicrobial treatment of pediatric cervical lymphadenitis requiring surgical intervention. Int J Pediatr Otorhinolaryngol, 2013; 77(5): 817-820. doi: 10.1016/j.ijporl.2013.02.018.
  19. Hazout C, Saif M, Ben-Shimol S, et al. Factors Associated with Surgical Intervention in Pediatric Cervical Lymphadenitis: A Cohort Study. Acta Microbiologica Hellenica, 2025; 70(2): 13. doi.org/10.3390/amh70020013.
  20. Willemse SH, Schreuder WH, Apperloo RC, Lindeboom JA. Long-Term Outcome of Surgical Treatments for Nontuberculous Mycobacterial Cervicofacial Lymphadenitis in Children. J Oral Maxillofac Surg, 2022; 80(3): 537-544. doi: 10.1016/j.joms.2021.09.029.
  21. Cervical lymphadenitis in children: Diagnostic approach and initial management. www-uptodate-com.db.rsu.lv/contents/cervical-lymphadenitis-in-children-diagnostic-approach-and-initial-management